Skip to primary content

gutsandgrowth

Pediatric Gastroenterology

gutsandgrowth

Main menu

  • Home
  • About Jay Hochman -Pediatric Gastroenterology Blog

Post navigation

← Previous Next →

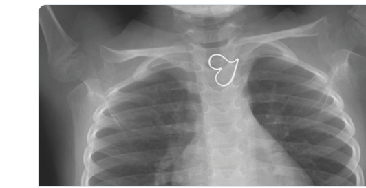
Image for Valentine’s Day

Posted on February 14, 2019 by gutsandgrowth

From NEJM twitter feed -an esophageal foreign body:

Related blog post:

Foreign Bodies in Children -Expert Guidance

Share this:

  • Email a link to a friend (Opens in new window) Email
  • Share on X (Opens in new window) X
  • Share on Facebook (Opens in new window) Facebook
Like Loading...

Related

This entry was posted in General Health and tagged esophageal foreign body by gutsandgrowth. Bookmark the permalink.
Blog at WordPress.com.
  • Reblog
  • Subscribe Subscribed
    • gutsandgrowth
    • Join 945 other subscribers
    • Already have a WordPress.com account? Log in now.
    • gutsandgrowth
    • Subscribe Subscribed
    • Sign up
    • Log in
    • Copy shortlink
    • Report this content
    • View post in Reader
    • Manage subscriptions
    • Collapse this bar
 

Loading Comments...
 

    %d