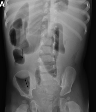
Z Patel et al. Gastroenterol 2021: 161. https://doi.org/10.1053/j.gastro.2020.10.051. Full text: An Unusual Case of Small Bowel Obstruction
Case report of a 10 month old who developed a small bowel obstruction due to an “Orbeez” ball. “Orbeez balls are small polymer beads that absorbs water and expands, it can get up to 150 times their original size. When left out of water, the beads shrink back down to its original size. They were originally invented as a way to keep moisture in soil for plants. They are hugely popular with children and often used as toys, flower holders, air fresheners, light jars, and objets d’art in the house.”
Related blog post: Foreign Bodies in Children –Expert Guidance

