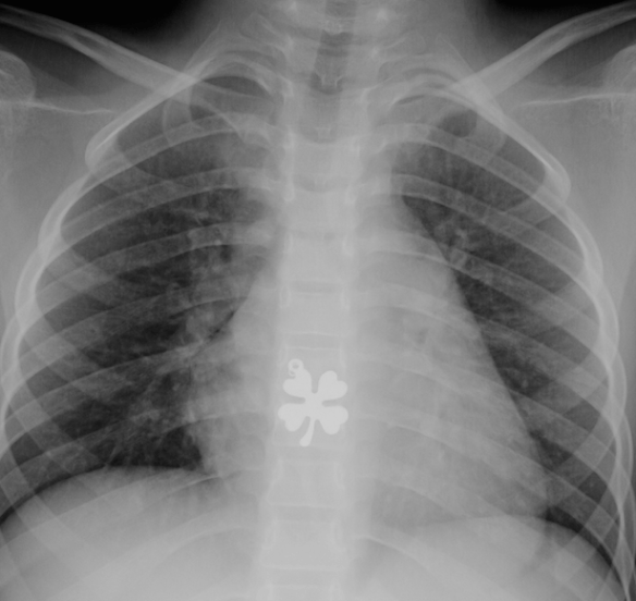
Radiologic Image for St. Patrick’s Day Posted on March 17, 2015 by gutsandgrowth Image of esophageal foreign body ingestion: Ingested 4-Leaf Clover Pendant -Courtesy of Steven Liu Share this: Email a link to a friend (Opens in new window) Email Share on X (Opens in new window) X Share on Facebook (Opens in new window) Facebook Like Loading... Related