Skip to primary content

gutsandgrowth

Pediatric Gastroenterology

gutsandgrowth

Main menu

  • Home
  • About Jay Hochman -Pediatric Gastroenterology Blog

Post navigation

← Previous Next →

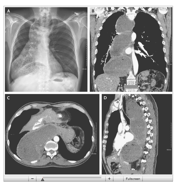
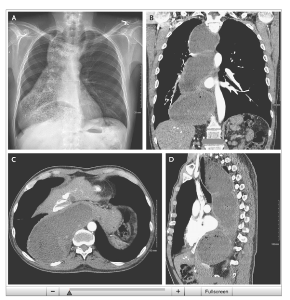
Achalasia with Megaesophagus

Posted on January 3, 2016 by gutsandgrowth

From NEJM twitter feed: Achalasia with Megaesophagus (in a 63 yo)

Screen Shot 2016-01-01 at 12.31.40 PM

Related blog posts:

  • POEMs in Practice for Achalasia | gutsandgrowth
  • New Mutations: Achalasia, Pseudoobstruction, & IBD …
  • Review of Achalasia | gutsandgrowth
  • EPT for Achalasia | gutsandgrowth

Share this:

  • Email a link to a friend (Opens in new window) Email
  • Share on X (Opens in new window) X
  • Share on Facebook (Opens in new window) Facebook
Like Loading...

Related

This entry was posted in Gastroenterology and tagged achalasia by gutsandgrowth. Bookmark the permalink.
Blog at WordPress.com.
  • Reblog
  • Subscribe Subscribed
    • gutsandgrowth
    • Join 945 other subscribers
    • Already have a WordPress.com account? Log in now.
    • gutsandgrowth
    • Subscribe Subscribed
    • Sign up
    • Log in
    • Copy shortlink
    • Report this content
    • View post in Reader
    • Manage subscriptions
    • Collapse this bar
 

Loading Comments...
 

    %d