Link to full text from AGA twitter feed: A Rare Cause of Generalized Edema
Background: “A 19-year-old boy presented to our hospital because of a 6-month history of progressive dyspnea and generalized edema. He developed cough, abdominal fullness, diarrhea, and leg edema 5 years ago. Liver cirrhosis was suspected at that time…Chest radiography showed bilateral pleural effusions (Figure A). Abdominal computed tomography demonstrated large amount of ascites (Figure B). … Subsequently, antegrade double-balloon enteroscopy …demonstrated nodular mucosal lesions with a milk-like surface in the duodenum (Figure C). Moreover, snow flake appearance of mucosa was found in the jejunum and proximal ileum (Figure D). However, a normal appearance of mucosa was identified in the middle ileum (Figure E).”
The Answer:
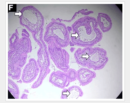
“Histologic examination shows chronic inflammation of the ileum characterized by increased lymphoplasma cell infiltration of lamina propria without malignancy. Moreover, marked dilatation of lymphatic ducts that involved the mucosa was identified (Figure F)… a diagnosis of primary intestinal lymphangiectasia (PIL) was made.

