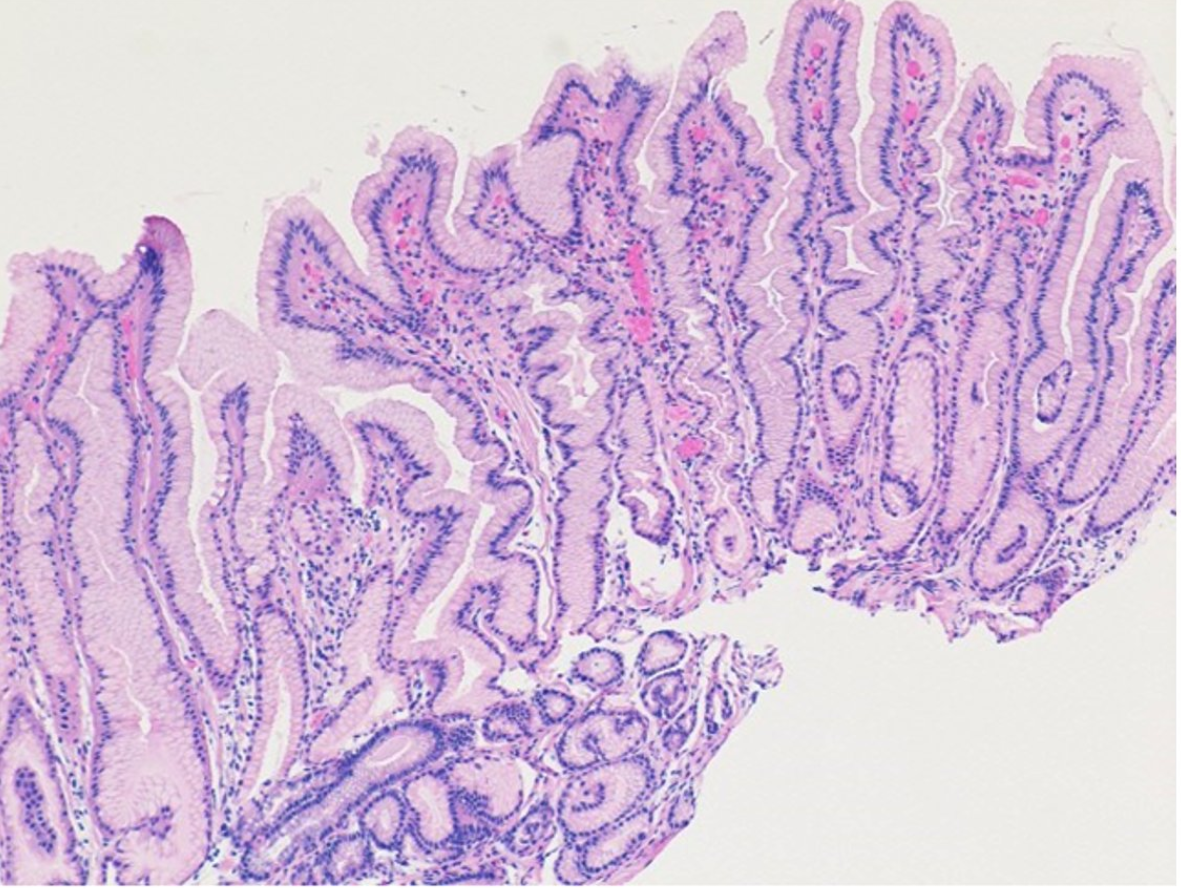
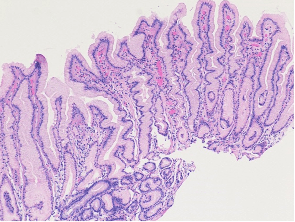
During my training, we reported a case of Menetrier’s disease in a pediatric patient associated with CMV infection (Open Access PDF: Diagnosis of Cytomegalovirus Infection in Pediatric Menetrier’s Disease by In Situ Hybridization).
Recently, JPGN’s twitter feed shared the images below from a recent report (SJ Pathak et al. JPGN January 2022 – Volume 74 – Issue 1 – p e16doi: 10.1097/MPG.0000000000003276. Menetrier Disease in a Pediatric Patient With Ulcerative Colitis and Primary Sclerosing Cholangitis)



Related blog post: Image Only: Pediatric Menetrier’s Disease