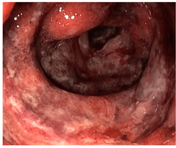
L Torelli et al. J Pediatr Gastroenterol Nutr. 2025;80:242–244. Gastrointestinal involvement in Henoch–Schönlein purpura
A 10 yo underwent an EGD due to nausea, melena and abnormal CT (showing thickening in the the duodenum and first jejunal loop. Two days later, she developed a cutaneous rash appeared on her legs, buttocks, and elbows.

Related blog posts: