A Coe et al. J Pediatr Gastroenterol Nutr. 2025;81:1514–1517. Duodenal hematoma in pediatric upper endoscopy: A5‐year review and comparison to previous experience
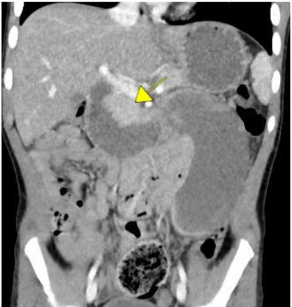
This 5-year single-center study from 2018 to 2022 identified a total of 13 patients with duodenal hematoma (DH). There were a total of 21,569 EGDs, and 16,978 EGDs with duodenal biopsies were performed during the study period.
Key findings:
- 1 DH in 1306 (0.08%) EGDs with duodenal biopsies. Ten of the thirteen patients had normal duodenal histology, and the other three each had findings of celiac disease, peptic duodenitis, and graft-versus host disease
- None of the patients had a history of anticoagulant or antiplatelet agent therapy
- Symptom onset occurred within 24 h for 8/13 (62%),48 h for 11/13 (85%), and 72 h for all 13 patients after EGD. Emesis occurred in all 13 patients and abdominal pain 7/13 (58%)
- All patients were admitted with a mean length of stay of 18 days
- Treatment: jejunal feedings in 4 of the 13 patients (31%), and parenteral nutrition in 10 of 13 (77%) patients. Most patients (62%) utilized opioids for pain management following DH
- A similar study was conducted at the same center in 2015. It was noted that there was a lower rate of duodenal biopsies in the current cohort: 78.7% versus 92.4%

My take: Duodenal hematoma is a major complication leading to the need for parenteral nutrition and prolonged hospitalization. BMT and organ transplantation appear to increase this risk based on prior studies.
Related blog posts: