A fascinating case report (MA Curran et al. NEJM 2017; 377: 1468-77) provides a useful exercise in understanding how to evaluate difficult cases of “failure to thrive.”
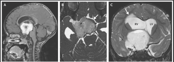
In essence, a 19 month girl with good linear growth had stopped gaining weight around 7 months of age. After exhaustive evaluation, detailed in this report, the patient had an MRI which revealed a brain tumor and she was diagnosed with diencephalic syndrome. Key features include good appetite/caloric intake, happy appearance, and cachexia.
The discussion explains that in most children, poor weight gain results from poor caloric intake, which can be related to social issues including poverty, neglect, parental mental health issues, and lack of understanding by caregivers.
In children with good caloric intake, the potential reasons for poor growth are reviewed:
- Endocrine causes: thyroid dysfunction
- Renal, pulmonary, cardiac, liver, and pancreatic disease
- GI diseases: Celiac disease, Inflammatory Bowel disease
- Infections including tuberculosis, parasites, HIV
Despite the numerous potential causes, beyond basic laboratory assessment, “extensive testing is usually not warranted: in one study, only 1.4% of additional laboratory tests were helpful in making the diagnosis.”
In many cases of diencephalic syndrome, symptoms like vomiting may be present on an intermittent basis as well as nystagmus or strabismus; these symptoms develop due to obstructive hydrocephalus.
My take: In children with good caloric intake, diencephalic syndrome is a rare but important etiology.

