Video of Intussusception Reduction

R Michael, J Tozer. N Engl J Med 2024;390: e53. Small-Bowel Intussusception in an Adult

The authors describe the presentation/resolution of a 57 yo with a small bowel intussusception due to a fibroblastic polyp lead point.

Video: Reduction of Intussusception (may be behind a paywall)

Related blog posts:

When to Reinsert a GJ Tube After Intussusception

AT Abebe et al. JPGN 2023; 76: 379-384. Length of Bowel Rest Does Not Predict Gastrojejunostomy Tube-Associated Intussusception Recurrence

In this retrospective study, 46 GJ intussusceptions were identified; patients had a median age of 2.8 years. Key findings:

  • There were 7 recurrences (15.2%).
  • There was no difference in recurrence based on time of bowel rest (5 days in those without vs 6 days in those with, P = 0.30) nor a difference in recurrence with <72 hours of bowel rest compared to >72 hours (1/15, 6.7% vs 6/31, 19.3%)
  • In 15 patients who had a smaller GJ tube replaced, there were no recurrences compared with 7 recurrences among 29 (24%) that had the same caliber GJ tube replaced (P=0.08)

My take: This study indicates that prolonged removal of GJ is not needed with GJ intussusception and if feasible, consider replacement with a smaller (or shorter) GJ tube.

Related blog posts:

Image from JPGN Twitter

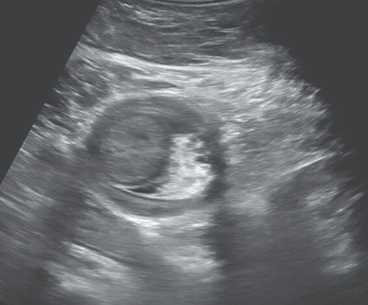
Image from NEJM: Colocolonic Intussusception

From NEJM Twitter feed:

“Colonic intussusception is a rare cause of intestinal obstruction in children, and most cases are ileocolic rather than colocolonic. A pathologic lead point, typically a juvenile polyp, is present in the majority of cases.” In this case, panel D shows a 2.5 cm pedunculated polyp which was thought to be the lead point.

Related blog posts:

Benefits of Rotavirus Vaccine and Intussception

The latest information on rotavirus vaccines provide more information on the relative benefits (very high) compared to the risks (very low).

  • NEJM 2014; 370: 503-12
  • NEJM 2014; 370: 513-19
  • NEJM 2014; 370: 568-70 -editorial

While the initial marketing studies for Rotateq (Merck) and Rotarix (GlaxoSmithKiline) which each enrolled more than 60,000 infants did not show a significant risk of intussusception, these latest studies do indicate a very low risk for intussusception.

  • Risks of intussusception: “approximately 1 to 5 cases per 100,000 infants.” This equates to 45 to 213 cases of intussusception nationwide each year.
  • Benefits of these rotavirus vaccines in U.S.: “in the U.S. cohort of 4.5 million babies born each year, vaccination is estimated to prevent approximately 53,000 hospitalizations and 170,000 emergency department visits for diarrhea.”
  • In developing countries, the results for vaccination are even more impressive.  In Mexico which has implemented a vaccination program, there has been a 40% reduction in deaths due to diarrhea (NEJM 2010; 362: 299-305).

Related blog posts: